Skip to main content Skip to main navigation menu Skip to site footer
Research Articles
Published: 2017-12-10

Effect of stress on histopathology of male reproductive system in rats

Assistant Professor, Department of Pharmacology, DVVPF’s Medical College, Ahmednagar, Maharashtra, India
Professor & Head, Department of Pharmacology, Rural Medical College, PIMS (DU), Loni, Maharashtra, India.
Professor & Head, Department of Pharmacology, DVVPF’s Medical College, Ahmednagar, Maharashtra, India.
Professor, Department of Pathology, DVVPF’s Medical College, Ahmednagar, Maharashtra, India.
Professor, Department of Pharmacology, Rural Medical College, PIMS (DU), Loni, Maharashtra, India

Abstract

Background: Although relatively little is known about factors affecting fertility. Latest literature suggests that environmental and lifestyle factors play an important role. Recently, oxidative stress has become the focus of interest as a potential cause of male infertility. Oxidative stress may play a role in a number of conditions known to be detrimental to male fertility Method: Adult male albino rats weighing 200 - 220 g and aged 12-15 weeks male rats were selected for the study. The rats were randomly analyzed into 3 groups Group 1: Control rat, Group 2: Swimming stress without treatment, Group 3: Treated with vitamin C 30mg/kg/day doses. All rats were subjected to swimming stress daily between 9.00 AM to 10.00 AM until 50 days. Drugs were administered orally for 50 days half an hour before subjecting to stress. At end of the study the reproductive organs testes, seminal vesicles, Vas deferens and prostate were dissected and the samples were used for the histo-pathological evaluation. Result: In stress group section of testis shows seminiferous tubules showed focial poor spermatogenesis with reduction in number of sperm containing seminiferous tubules and absence of spermatozoa was clearly recognized in some seminiferous tubules. Treatment with antioxidant showed recovery but still some of the seminiferous tubules showed decreased spermatozoa. Stress changes in seminal vesicle: the hyperplasia of epithelial lining, histological features of mucosa severely affected and reduced number of gland. Stress induced changes in vas deferens: produced desquamated ling epithelium with atrophic changes and mild exploited epithelium, degenerated basement membrane of vas deferens. Stress induced changes in prostate: Prostatic acini with many papillary folds, desquamated epithelial cells, epithelial proliferation was seen. Conclusion: Oxidative stress produced deleterious effects on male reproductive system and supplementation of antioxidants such as vitamin C have been shown to be protecting effect against the histological changes produced by the oxidative stress on male reproductive system in rats.

KEYWORDS:  Stress; Male reproductive organs; Histopathology; Rats.

INTRODUCTION

Reproductive failure is a significant public health concern [1]. Several studies have shown that male reproductive system is getting deteriorated during the last few decades resulting in reduced sperm countsand increased testicular and prostate cancer in men[2]. Male reproductive disorders affect the health status and overall quality of life of a man [3].

Although relatively little is known about factors affecting fertility. Latest literature suggests that environmental and lifestyle factors play an important role. Recently, oxidative stress has become the focus of interest as potential cause of male infertility [4]. Oxidative stress may play a role in a number of conditions known to be detrimental to male fertility. These conditions include exposure to environmental and industrial toxins, gonadotoxic chemotherapy, ionizing radiation, aging, varicocele, testicular torsion, infection, and inflammation [5].

Many recent studies indicate that oxygen-derived free radicals induce damage to spermatozoa. The oxidative stress environment that is created by ROS in the seminal plasma can be toxic for sperm [6].The excessive generations of these reactive oxygen species (superoxide, hydroxyl, nitric oxide, peroxide, peroxynitrite) by immature and abnormal spermatozoa and by contaminating leukocytes associated with genitourinary tract inflammation have been identified with idiopathic male infertility [7].

Testicular membranes are rich in polyunsaturated fatty acids and thus susceptible to peroxidation injury. In accordance, antioxidant enzyme activity has been shown to decrease in experimental cryptochidism, resulting in increased lipid peroxidation. Increased lipid peroxidations in the testis contribute to the suggested vulnerability of this organ to oxidative stress [8].

In a normal situation, scavenging molecules known as the antioxidant mechanisms present in the reproductive tissues and their secretions are likely to quench these reactive oxygen species (ROS) and protect against oxidative damage to gonadal cells and mature spermatozoa [9].

Vitamin C is claimed to decrease sperm abnormalities, helps to neutralize the toxic effects on sperm and increases sperm number and quality [10].

Swimming in small laboratory animals has been widely used for studying the physiological changes and the capacity of the organism in response to stress. Swimming has got a number of advantages over other types of exercise such as treadmill running. The amount of work done during the swimming exercise is far greater than that during the treadmill running of identical time duration. Swimming is not always a simple exercise stress. So present study forced swimming exercise taken as stress model [11].

Vitamin C appears to play an especially important role in protecting the sperm's genetic material (DNA) from damage. Ascorbic acid levels are much higher in seminal fluid than in other body fluids, including the blood [6].

Prior studies only focused one part of organ i.e. testis. Present study aims to solve this problem by taking all these variables into consideration and then forming a complete opinion about the problem

MATERIAL AND METHODOLOGY

Study design: An interventional animal based study

Ethics approval: the study was approved by the Institutional ethics committee and followed the CPCSEA guidelines for experimental on small animal

Sample size: In each group n=6

Grouping: The rats were randomly analyzed into 3 groups

Group 1: Control rat

Group 2: Swimming stress without treatment

Group 3: Treated with vitamin C 30mg/kg/day doses

Methodology:

Adult male albino rats weighing 200 – 220 g and aged 12-15 weeks old were obtained from authorized animal breading centre in Ahmednagar. The animals were kept in wire bottomed cages in a room under standard condition of illumination with a 12 - h light-dark cycle at 25 ± 1° C. They were provided with tap water and balanced diet ad libitum.

Stress Procedure: Rats were exposed to swimming stress daily between 09.00AM to 10.00AM until 50 days. The swimming test developed by Porsolt et al., has now become widely accepted model for physical stress in animals. It was modified according to previous researchers (Yalcin et al., 2000; Nayanatara et al., 2005; Nilu et al., 2008) was used for this experiment [12,13].

Drug preparation: Vitamin C: Pure form of Vitamin C was obtained from Vijaya trades, Scientific chemical distributor (Loda Make manufacturer). Vitamin C solution prepared in double distilled water (40 mg/ml) and was administered orally for 50 days half an hour before subjecting to stress by orogastric tube 30mg/kg/day doses [14].

A midline abdominal incision was done and opened the abdominal cavity to expose the reproductive organs. The reproductive organs testes, Prostate, seminal vesicles, epididymis and Vas deferens were dissected out and transferred to a petri-dish containing cold normal saline. Surrounding accessory tissue of testis was removed [15]. The samples were used for the histo-pathological evaluation.

The sections of tissues were placed in a liquid fixing agent (10% neutral buffered formalin fixative) solution.  This fixative process maintained for 24 hours [16].  After the fixation the specimens were dissected as small sections to select appropriate areas for examination. The specimen was then dehydrated through a graded series of alcohol and cleared in three changes of xylene before embedded in paraffin. Serial sections, each of 4 m thickness, were made and stained with hematoxylin and eosin according to standard method. The above routinely stained slides were used for microscopic examination to study the histological changes and microscopic photo graph was taken.

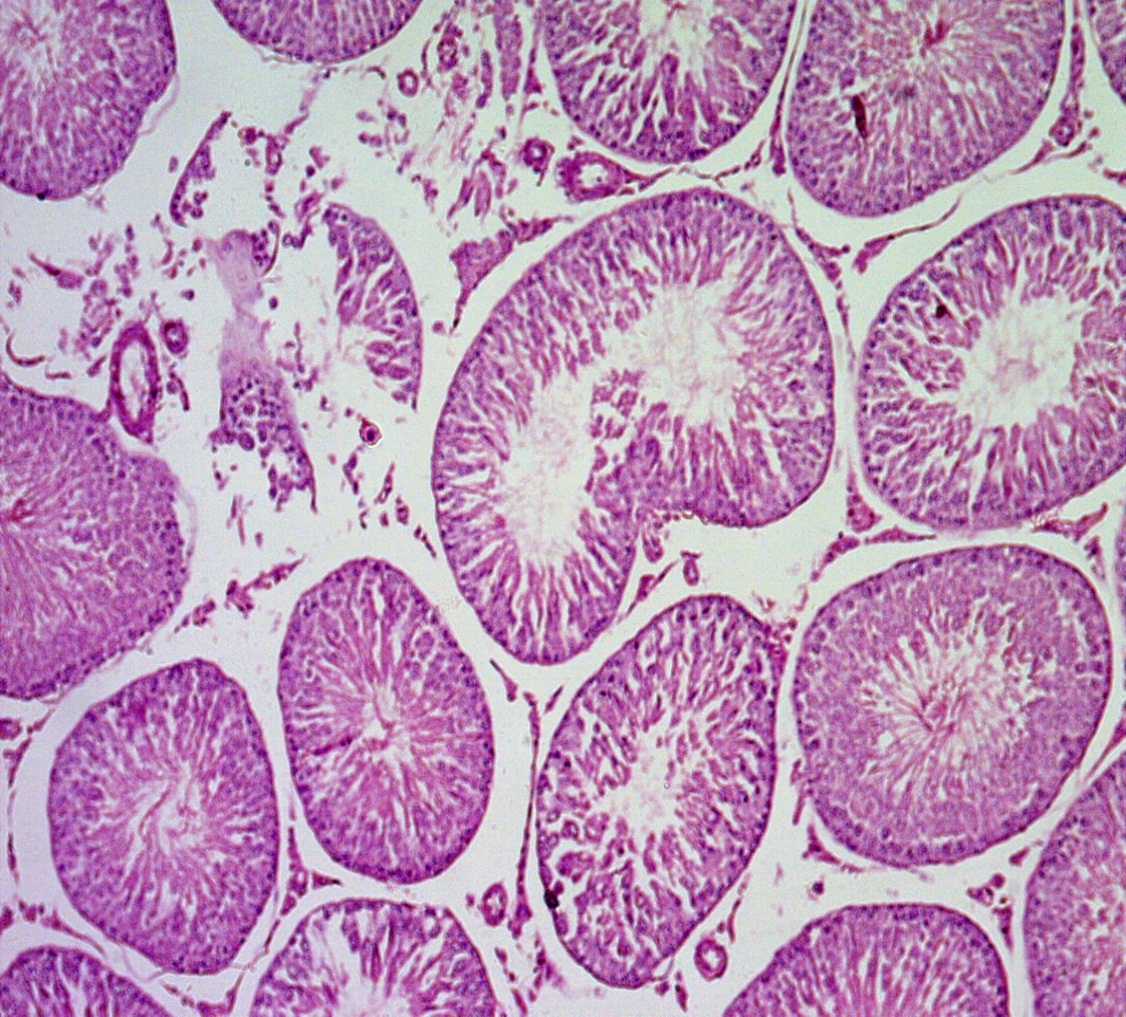
Figure 1. Normal rat testis

Figure 2. Stress induced changes in testicular histology

Section of testis shows seminiferous tubules showed focial poor spermatogenesis with reduction in number of sperm containing seminiferous tubules and absence of spermatozoa was clearly recognized in some seminiferous tubules.

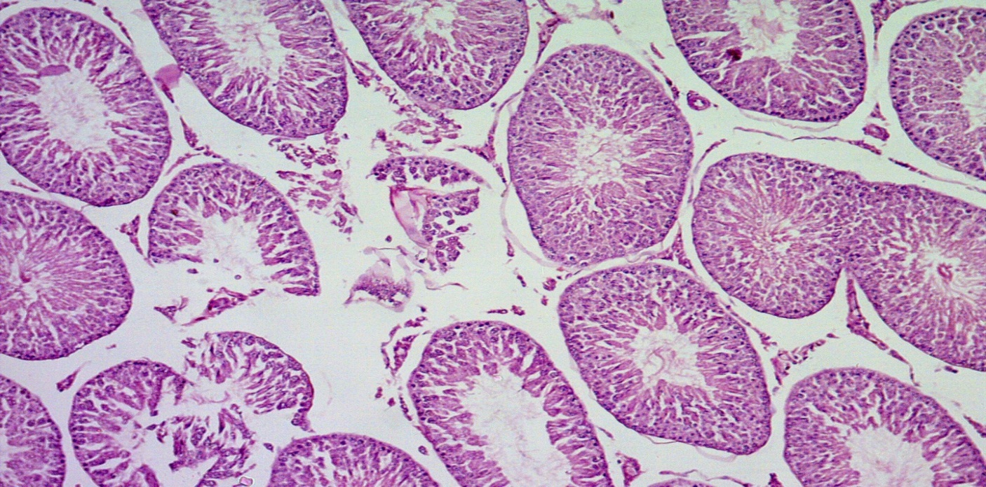
Figure 3. Treated with vitamin C

Treatment with antioxidant showed recovery but still some of the seminiferous tubules showed decreased spermatozoa.

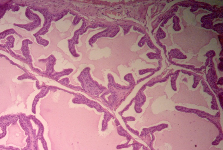
Figure 4. Normal rat seminal vesicle

The seminal vesicle of the control group rats showed complex, glandular and lumen was irregular and mucosal exhibited thin and anatomizing folds.

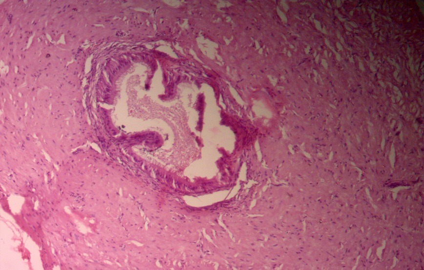
Figure 5. Stress induced changes in seminal vesicle

Stress induced the hyperplasia of epithelial lining, histological features of mucosa severely affected and reduced number of gland.

Figure 6. Normal rat vas deferens

Rat vas deferens section complex mucosal folds, compressed slit like lumen lined with pseudo stratified ciliated epithelium.

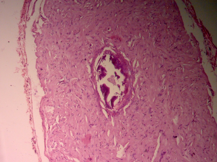
Figure 7. Stress induced changes in vas deferens

Stress produced desquamated ling epithelium with atrophic changes and mild exploited epithelium, degenerated basement membrane of vas deferens

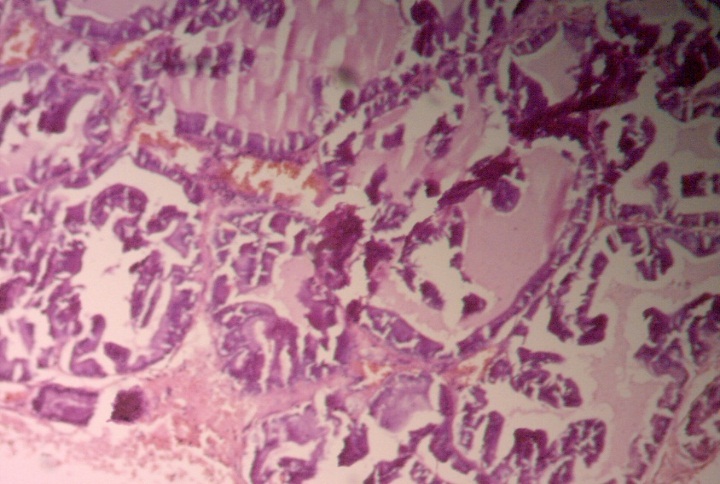
Figure 8. Normal rat prostate

Prostate was lined by simple columnar epithelium with basally located nuclei. The terminal structures ducts acini structures were filled with eosiniophilic secretion

Figure 9. Stress induced changes in prostate

Prostatic acini with many papillary folds, desquamated epithelial cells, epithelial proliferation was seen.

DISCUSSION

Environmental contaminants are known to induce reproductive toxicity by disturbing the pro-oxidant and antioxidant balance leading to oxidative stress [17]. In the study of Arumugam Kalaiselvi et al, Aluminium chloride treatment decreased the activities of antioxidant enzymes like catalase, glutathione peroxidase, and superoxide dismutase [18].

Rai et al. reported that restraint stress was caused disorganization of germinal epithelium, reduction in spermatogenesis, interstitial spaces were increased, seminiferous tubules were reduced in diameter, leydig cells were poorly defined. In the present study reports are similar to Rai etal [19].

Dare BJ et al. demonstrated that administration of antioxidants to men can improve the antioxidants status in the testicular tissue and maintain the testicular spermatogenic and steroidogenic functions [20].

Ashraf et al. reported vitamin E treated group showed the seminiferous tubules epithelium, interstitial cells was more or less similar to control group and vitamin E acts as preventive for cadmium destruction.

Mukerjee et al. in his study he concluded that consequential effect of prolonged stress through the pre-weaning and post-weaning period of laboratory rats, the weight of seminal vesicles and the histological features of the mucosa were severely affected [21].

Kusum study concluded that 14 days after injection of polymer showed the mucosa is denuded and flattened and 21 days injection of polymer showed degenerative changes [22].

Khan et al. reported KBrO3 administration changed the histology normal architecture of testis but in prostate histology was found normal appearance [23].

In the male reproductive system, vitamin C is known to protect spermatogenesis and it plays a major role in semen integrity and fertility both in men and animals. It increases testosterone levels and prevents sperm agglutination. It is an important chain-breaking antioxidant, contributing up to 65 % of the total antioxidant capacity of seminal plasma found intra cellularly and extracellularly [24,25].

In one study, when dietary vitamin C was reduced from 250 mg to 5 mg per day in healthy human subjects, the seminal fluid ascorbic acid level decreased by fifty percent and the number of sperm with damage to their DNA increased by ninety-one percent. Thus, dietary vitamin C plays a critical role in protecting against sperm damage. Low dietary vitamin C levels are likely to lead to infertility.

CONCLUSION

Oxidative stress produced deleterious effect on male reproductive system and supplementation of antioxidants such as vitamin C, have been shown to be protecting effect against the histological changes produced by the oxidative stress on male reproductive system damage in rats.

Conflict of interest: Nil

Funding: Nil

References

  1. Elizabeth H. Ruder,Terryl J. Hartman,Jeffrey Blumberg, Marlene B. Goldman. Oxidative stress and antioxidants: exposure and impact on female fertility. HumReprodUpdate. 2008;14(4): 345–357.
  2. Joffe M.Are problems with male reproductive health caused by endocrine disruption? Occupational and Environmental Medicine 2001;58:281.\
  3. WHO Training for the health sector. Case studies of male reproductive environmental health. Available at : http://www.who.int/ceh/capacity/male_reproductive_case.pdf
  4. Sunil B. Yadav, Adinath N. Suryakar, Anil D. Huddedar, Puspha P. Durgawale, Pramod S. Shukla .Antioxidant treatment a new therapeutic approach to reversible male infertility. International journal of medical sciences.2006
  5. EdmundY.Ko. EdmundS.SabaneghJr. . Male infertility testing: reactive oxygen species and antioxidant capacity.Fertilityand Sterility. 2014;102(6):1518-1527
  6. Ashok Agarwal, Gurpriya Virk,Chloe Ong, Stefan S du Plessis. Effect of Oxidative Stress on Male Reproduction. World J Mens Health. 2014 Apr; 32(1): 1–17.
  7. Ralf R Henkel. Leukocytes and oxidative stress: dilemma for sperm function and male fertility. Asian J Androl. 2011 Jan; 13(1): 43–52.
  8. Jacob K. Akintunde, Ganiyu Oboh, Akintunde A. Akindahunsi. Testicular membrane lipid damage by complex mixture of leachate from municipal battery recycling site as indication of idiopathic male infertility in rat. Interdiscip Toxicol. 2013 Dec; 6(4): 192–197.
  9. S Vijayprasad, BB Ghongane, BB Nayak. Effect of vitamin C on male fertility in rats subjected to forced swimming stress. Journal of clinical and diagnostic research: JCDR.2014;8 (7): HC05
  10. ParvizGharagozloo R. John Aitken. The role of sperm oxidative stress in male infertility and the significance of oral antioxidant therapy. Human Reproduction, 2011;26(7):1628–1640
  11. Nagaraja HS, Jeganathan PS Forced swimming stress-induced changes in the physiological and biochemical parameters in albino rats. Indian J Physiol Pharmacol 1999; 43 (1) : 53-59
  12. Nitish Bhatia, Partha Pratim Maiti, Abhinit Choudhary, Atul Tuli, Daljit Masih, Mohd. Masih Uzzaman Khan, Tasneem Ara, and Amteshwar Singh Jaggi. Animal models of stress. IJPSR. 2011;2(5):1147-1155
  13. Nayanatara AK, Nagaraja HS, Anupama BK. The effect of repeated swimming stress on organ weights and lipid peroxidation in rats. Thai Journal of Physiological Sciences. 2005;18(1):3-9
  14. Djurasevic SF, Jelena Djordjevic, Tamara Drenca, Jasnic N, Gordana Cvijic. Influence of vitamin c supplementation on the oxidative status of rat liver. Arch Biol Sci. Belgrade. 2008;60(2):169-173
  15. Akingbade Adebanji Modupe, Ojewale Abdulfatai Olakunle, Onyekuru Gift Uzochukwu, Olasehinde Oluwaseun Ruth, Ibitoye babatunde oluwaseun and Shanomi Elohor Victoria. Spermatogenic and histologic evaluation of imiprothrin in male reproductive system of adult wistar rats. Pharmacologia.2017;8: 52-58.
  16. Francesco Lombardo, Andrea Sansone, Francesco Romanelli, Donatella Paoli, Loredana Gandini, Andrea Lenzi. The role of antioxidant therapy in the treatment of male infertility: an overview. Asian Journal of Andrology. 2011;13:690–697
  17. PremenduPrakashMathur and . The effect of environmental contaminants on testicular function. Asian JAndrol. 2011 Jul; 13(4): 585–591.
  18. Arumugm Kalaisevi, Ororine Marcelline Suganthy. Influence of aluminium chloride on antioxidant system in the testis and epididymis of rats. IJT. 2014;8(24):991-997
  19. Raj J, Pandey Sn, Srivastava Rk. Testosterone hormone level in albino rats following restraint stress of long duration. J Ana Soc india 2004;53(1):17-19
  20. Dare BJ, Oyeniyi F, Olaniyan OT. Role of Antioxidant in Testicular Integrity. Annual Research & Review in Biology. 2014;4(7):998-1023
  21. Mukerjee B, Rajan T. Morphometric Study of Seminal Vesicles of Rat in Normal Health and Stress Conditions. J Anat Soc India. 2006;55(1):33-36
  22. Kusum Verma, Misro MM, Singh H, Sudha Mahajan, Ray AR, Guha SK. Histology of the rat vas deferens after injection of a non-occlusive chemical contraceptive. J Reprod. Fert. 1981;63:539-542
  23. Rahamat Ali Khan, Muhammad Rashid Khan, Sumaria Sahreen. Protective effects of Sonchus asper against KBrO3 induced lipid peorixdation in rats. Lipids in health and Disease 2012;11:164-171
  24. Shrilatha B, Muralidhara. Early oxidative stress in testis and epididymal sperm in streptozotocin-induced diabetic mice: its progression and genotoxic consequences. Reprod Toxicol. 2007;23(4):578-587
  25. Naziroglu M: Enhanced testicular antioxidant capacity in streptozotocin-induced diabetic rats. Protective role of vitamins C and E and selenium. Biol Trace Elem Res. 2003;94(1):61-71

How to Cite

Sangishetti, V. P., DH, N., BB, N., BB, S., & R, K. R. (2017). Effect of stress on histopathology of male reproductive system in rats. International Journal of Current Research in Physiology and Pharmacology, 1(1), 13–18. Retrieved from https://www.ijcrpp.com/index.php/ijcrpp/article/view/18