Skip to main content Skip to main navigation menu Skip to site footer
Research Articles
Published: 2024-07-17

Hepatoprotective effect of aqueous extracts of Annona senegalensis (Annonaceae) and Hallea ledermannii (Rubiaceae) in alloxan-induced diabetic Wistar rat.

Jean Lorougnon Guédé University, UFR Agroforestry, Agrovalorization Laboratory, BP 150 Daloa, Ivory Coast
Jean Lorougnon Guédé University, UFR Agroforestry, Biodiversity and Tropical Ecology Laboratory, BP 150 Daloa, Ivory Coast
Jean Lorougnon Guédé University, UFR Agroforestry, Agrovalorization Laboratory, BP 150 Daloa, Ivory Coast
Félix Houphouët Boigny University, UFR Biosciences, Biology and Health Laboratory, 22 BP 582 Abidjan 22, Ivory Coast
Félix Houphouët Boigny University, UFR Biosciences, Biology and Health Laboratory, 22 BP 582 Abidjan 22, Ivory Coast
Annona Senegalensis Hallea ledermannii glibenclamide hepato-protective rat- diabetes

Abstract

ABSTRACT

Context: Given the high cost of treating diabetics with modern medicine in developing countries like Africa, traditional medicine has become an alternative widely practiced by them for their care. Hence the need to carry out a preclinical test in order to make improved traditional medicines available to diabetics in these countries at lower cost. It is in this context that we undertook to carry out scientific studies that could also promote traditional African medicine. General objective: To evaluate the hepatoprotective effects of aqueous extracts of Annona senegalensis (Annonaceae) (EAAs) and Hallea ledermannii (Rubiaceae) (EAHl), two plants known to be antidiabetic, in diabetic rats of the Wistar strain. Material and methods: The study of the effects of EAAs and EAHl on lipid profile parameters and markers of liver function in non-diabetic rats and in those made diabetic by induction of alloxan at a single dose of 75 mg/ kg of body weight (bw) was carried out after two (2), four (4), eight (8) and thirteen (13) weeks of treatment. Also, the study of the influence of the effects of these aqueous extracts on the liver of these animals was carried out after four (4) and thirteen (13) weeks of treatment. Furthermore, the histological analysis of the liver of the test rats was carried out after measuring the relative weight of this organ, on the 91st day of treatment. Results: After four (4) weeks of treatment, only the value of LDL cholesterol (LDL-c) in rats treated with EAAs (200 mg/kg bw) significantly decreased (p < 0.05) compared to that of controls. untreated diabetics (1.27 ± 0.02 versus 1.18 ± 0.03 g/L). After 91 days of treatment, a significant increase in alkaline phosphatase and protein content was observed in diabetic rats treated with EAHl200 compared to the mean values ​​in untreated diabetic control rats respectively (137.5 ± 2. 50 against diabetic control values ​​93.50 ± 2.50) and (80 ± 3 g/L against diabetic control values ​​64 ± 4 g/L). At the same stage of treatment, the relative weight of the liver of all animals did not undergo significant variations (p > 0.05) compared to that of non-diabetic controls. Conclusion: This study highlighted the hepato-protective properties of these extracts in diabetics.

Keywords: Annona Senegalensis, Hallea ledermannii, glibenclamide, hepato-protective, rat- diabetes.

INTRODUCTION

Diabetes mellitus is a group of metabolic diseases characterised by chronic hyperglycemia resulting from a defect in insulin secretion and/or the action of this hormone [1,2]. It is a serious disease increasingly threatening public health worldwide. It affects approximately 4% of the world's population and is expected to increase by 5.4% in 2025 [3]. Diabetes causes, among other things, kidney and liver complications and cardiovascular diseases.

The liver is an organ that plays a key role in carbohydrate homeostasis. Beyond the micro and macrovascular complications of diabetes, type 2 diabetic patients frequently present certain hepatic complications. Chronic liver disease (CHD) is a significant cause of death in diabetic patients. In an Italian study, cirrhosis was the 4th cause of death among diabetic patients, after cardiovascular disease (40%) and neoplasia (20%), being responsible for 4.4% of deaths [4].

The treatment of diabetes in MHC is complex due to liver damage and potential hepatotoxicity or adverse events favored by MHC [5,6]. The particularity of diabetes is that it has very restrictive management in modern medicine, in particular the regular monitoring of blood sugar levels and the daily injection of insulin. Increasingly, scientific studies are focusing on the use of plants in the treatment of diabetes by traditional medicine through ethnobotanical investigations and biological screenings in the laboratory on animal models [7,8]. Also, scientific data regarding the treatment of diabetes in traditional medicine are insufficient. In addition to these constraints, the financial means for monitoring lead populations in developing countries (Africa, Latin America, etc.) to definitively turn to traditional medicine for the management of diabetes [9]. The existence of a traditional antidiabetic pharmacopoeia intended for the treatment of diabetic pathology is widespread and its existence is confirmed by practitioners and doctors who practice it [10, 2]. Plants are recognised as a wonderful source of medicines. Currently, 1200 species of plants are used as medicines in traditional diabetes therapy [11]. However, for most of them, the scientific evidence is not yet elucidated. For a more rational use of these plants, preclinical tests must be carried out to determine possible side effects in humans.

It is with this aim that this present study was carried out to study the effects of aqueous extracts of Annona senegalensis (Annonaceae) (EAAs) and Hallea ledermannii (Rubiaceae) (EAHl), two plants of the traditional African pharmacopoeia, used in the treatment of diabetes [12,13]. OECD guidelines were followed during our studies of the toxicity of these plants in Wistar strain rats [14].

According to Yéo et al [15], Annona senegalensis leaf extract reduces the number of inflammatory cells. According to the work of Konaté et al. [16], the aqueous extract of the root bark of Annona senegalensis is said to be used as an anticonvulsant. Hallea ledermannii is used as a local anesthetic and helps lower blood pressure and resolve disorders in the lymphatic system of the intestine [17]. Diallo et al. [18] showed that this plant had anti-tumor activity.

The general objective of this work is to evaluate the hepatoprotective effects of EAAs and EAHl in diabetic rats of the Wistar strain.

MATERIALS AND METHODS

Plant material

The plant species used consist of Annona senegalensis (Annonaceae) and Hallealedermannii (Rubiaceae). The fresh leaves of these plants were obtained respectively in Bouaflé (Central city, Ivory Coast) and Yopougon (Northern suburbs of the city of Abidjan, Ivory Coast) and were identified and authenticated at the National Floristic Center (CNF) from Félix Houphouët-Boigny University (Ivory Coast) by Professor Aké-Assi.

Samples of Annona senegalensis (Annonaceae) and Hallealedermannii (Rubiaceae) are preserved respectively under herbarium numbers 9809 Lamto 06/12/1967 and 2538 Forest of the banco 14/10/1954 in this center.

Preparation of aqueous extracts

Three hundred (300) grams of dried leaves of Annona senegalensis or Hallealedermannii, cut into pieces, are boiled for 1 hour in 1.5 liters of distilled water. The decoction obtained, filtered several times through hydrophilic cotton, is dried in an oven at 60°C. The aqueous extraction method made it possible to obtain yields of 18 g or 7.2% and 22.5 g or 9%, respectively for Annona senegalensis and Hallealedermannii. The powders obtained, stored in the refrigerator, constitute the aqueous extracts and were used to carry out the experiments.

Animal material

The experiments were carried out on healthy male rats of the Rattus norvegicus species of the Wistar strain, with a body weight of between 200 and 250 g. These rats were raised in the animal facility of the UFR Biosciences of the Félix Houphouët-Boigny University (Ivory Coast) in ambient temperature (25°C). The animals had access to water and food (pellets) ad libitum. Rats are acclimated before any experiment with a 12-hour day/night cycle. The animals were treated according to ethical rules regarding the use of laboratory animals.

Methods

Diabetes induction

For the induction of diabetes, eighty-one (91) healthy male rats of the Wistar strain, weighing between 200 and 250 g, were used. They were divided into seven (7) batches of thirteen (13) rats. After measuring their baseline blood sugar levels, the average of which was between 72 ± 12 and 89 ± 11 mg/dl (therefore healthy), they were administered intraperitoneally a single dose of alloxan (75 mg/kg pc), diluted in 0.9% sodium chloride physiological solution. Seventy-two (72) hours later, blood sugar measurement after induction of diabetes was done [19]. Rats presenting frank and permanent hyperglycemia between 158 and 238 mg/dl are considered diabetic. Seventy (70) rats showed permanent hyperglycemia ranging from 173 ± 44.46 to 416.8 ± 82.19 mg/dl. These diabetic rats were used in our experiments (Table 1).

Lot 1 Lot 2 Lot 3 Lot 4 Lot 5 Lot 6 Lot 7
Fasting blood glucose before diabetes induction (mg/dl)
72 ± 12 77,5 ± 2,5 82,5 ± 15,5 89 ± 11 81 ± 18 80,5 ± 3,5 83 ± 14
Fasting blood glucose after 72 hours of diabetes induction (mg/dl)
283 ± 275,5 ± 173 ± 416,8 ± 177,5 ± 398 ± 211,8 ±
103,3 56,01 44,46 82,19 41,83 71,01 76,27
Table 1. Blood glucose values ​​in rats before and after induction of diabetes. Maximum fasting blood sugar value after two doses: 126 (mg/dl)

Study of the effects of extracts in diabetic rats

In this study, the start of treatment with the aqueous extract of the plants or with the reference product glibenclamide or with distilled water begins 24 hours after confirmation of diabetes. The test substances are administered daily over a period of 4 and 13 weeks. Thus, for the evaluation of the effects of the test substances, the diabetic animals were divided as follows:

Lot 1, non-diabetic control rats: these rats received two (2) ml of distilled water daily by gavage;

- Lot 2, untreated diabetics: these rats received two (2) ml of distilled water each day by gavage;

- Lot 3, Diabetics + Gli10: these rats received every day by gavage two (2) ml of the Glibenclamide solution dosed at 10-2 mg/kg bw;

- Lot 4, Diabetic + EAAs100: these rats received each day by gavage two (2) ml of the aqueous extract of Annona senegalensis dosed at 100 mg/kg bw;

- Lot 5, Diabetic + EAAs200: rats which received daily orally two (2) ml of the aqueous extract of Annona senegalensis dosed at 200 mg/kg bw;

-Lot 6, Diabetic + EAHl200: these rats received each day by gavage two (2) ml of Hallea ledermannii dosed at 200 mg/kg bw;

-Lot 7, Diabetic + EAHl400: these rats received daily orally, 2 ml of Hallea ledermannii dosed at 400 mg/kg bw.

Blood sampling from diabetic rats

Blood is collected (approximately five (5) ml) from the tail vein of each rat by a puncture, into dry tubes for biochemical tests. Blood samples are taken from fasted rats (18 hours), before the start of the experiment (D0) (i.e., 72 hours after the alloxan injection) and then successively, after 2 (D14); 4 (J28); 8 (D56) and 13 (D91) weeks of treatment.

However, on the 28th and 91st days, blood sampling was done after the sacrifice of certain rats by decapitation after anesthesia with ethyl urethane [20].The blood contained in tubes without anticoagulant is centrifuged at 3000 rpm for 10 min, in a refrigerated centrifuge (Alresa Orto, Spain) at 4°C. The serum is then collected and placed in Eppendorf tubes to be stored in the freezer (0°C), while awaiting the determination of biochemical parameters and electrolytes [15].

Determination of lipid profile and liver function parameters in rats

The assay focused on lipid profile parameters such as total cholesterol, triglyceride, HDL cholesterol, and LDL cholesterol. Concerning the parameters of liver function, it focused on alkaline phosphatase (PAL), aspartate amino-transferase (ASAT), alanine amino-transferase (ALT), and proteins. These biochemical assays were carried out using a Mindray BS 240 brand automaton (Model BS 240 YX 6A000234, France).

Histological technique

The histological section of the liver was made in accordance with the techniques used in the anatomical pathology laboratory of the Training and Research Unit (UFR) of Medical Sciences of Felix Houphouët-Boigny University. This technique follows several stages which are [21]:

Fixation of the kidney of rats with 10% formalin in a bottle [22];Dehydration with alcohol (80, 90, 96, and 96°) and clearing of the kidney in three successive toluene baths for one, two, and three hours [23]; Impregnation in two liquid paraffin baths in an oven (MEMMERT®, Germany) at 50°C[23]; Paraffin embedding of the kidney [22]; 5 μm sections of the kidney using a microtome, such as Leica RM 2125 RTS®; Deparaffinization of kidney sections in an oven at 50°C for 30 min [23]; Staining of kidney sections in a hematoxylin-eosin or hematein-eosin bath [24, 25]; Mounting the coverslips on the slide immediately after staining the kidney sections; Observation and measurements of histological sections of the kidney, using the Olympus CKX41 type microscope (Germany) connected to a computer equipped with Videomet software, at the central veterinary laboratory of Bingerville.

Statistical analysis

Graph Pad Prism 5 software (San Diego, California, USA) was used for the statistical analysis of the values ​​and the graphic representation of the data. Concerning the statistical difference between the results, analysis of variance (ANOVA), followed by the Tukey-Kramer multiple comparison test, at the significance level p > 0.05 was used.

RESULTS

Effects of aqueous extracts of Annona senegalensis and Hallea ledermannii on liver function parameters

Witnesses normal Diabetic controls Gli10 EAAs100 EAAs200 EAHl200 EAHl400
2 weeks
Chol T (g/L) 1,87 ± 0,03 2,03 ± 0,08 1,83 ± 0,03 1,98 ± 0,11 1,81 ± 0,02 1,82 ± 0,05 1,88 ± 0,11
Trigly (g/L) 0,75 ± 0,05 0,75 ± 0,07 0,77 ± 0,04 0,73 ± 0,05 1,01 ± 0,07 0,76 ± 0,1 0,78 ± 0,05
HDL-Chol (g/L) 0,44 ± 0,01 0,43 ± 0,02 0,43 ± 0,02 0,46 ± 0,02 0,44 ± 0,02 0,42 ± 0,02 0,47 ± 0,02
LDL-Chol (g/L) 1,27 ± 0,02 1,39 ± 0,03 1,28 ± 0,02 1,28 ± 0,03 1,2 ± 0,03 1,25 ± 0,02 1,29 ± 0,1
4 weeks
Chol T (g/L) 1,88 ± 0,03 1,99 ± 0,05 1,84 ± 0,03 1,88 ± 0,05 1,80 ± 0,01 1,81 ± 0,05 1,87 ± 0,10
Trigly (g/L) 0,76 ± 0,05 0,75 ± 0,07 0,78 ± 0,04 0,72 ± 0,05 1 ± 0,07 0,74 ± 0,10 0,75 ± 0,06
HDL-Chol (g/L) 0,45 ± 0,01 0,44 ± 0,02 0,42 ± 0,02 0,46 ± 0,02 0,42 ± 0,02 0,41 ± 0,02 0,46 ± 0,02
LDL-Chol (g/L) 1,27 ± 0,02 1,39 ± 0,03 1,27 ± 0,02 1,28 ± 0,03 1,18 ± 0,03# 1,24 ± 0,02 1,27 ± 0,08
8 weeks
Chol T (g/L) 1,82 ± 0,08 1,85 ± 0,17 1,94 ± 0,17 1,82 ± 0,17 2,09 ± 0,23 1,85 ± 0,05 1,72 ± 0,16
Trigly (g/L) 0,79 ± 0,06 0,75 ± 0,05 0,83 ± 0,06 0,76 ± 0,14 0,82 ± 0,1 0,84 ± 0,03 0,60 ± 0,16
HDL-Chol (g/L) 0,44 ± 0,02 0,42 ± 0,04 0,44 ± 0,03 0,39 ± 0,03 0,49 ± 0,05 0,46 ± 0,03 0,39 ± 0,08
LDL-Chol (g/L) 1,22 ± 0,07 1,28 ± 0,13 1,33 ± 0,15 1,28 ± 0,12 1,43 ± 0,16 1,22 ± 0,03 1,21 ± 0,05
13 weeks
Chol T (g/L) 0,91 ± 0,01 0,86 ± 0,02 0,84 ± 0,03 0,85 ± 0,08 0,74 ± 0,08 0,87 ± 0,03 0,97 ± 0,09
Trigly (g/L) 0,49 ± 0,01 0,37 ± 0,06 0,34 ± 0,06 0,49 ± 0,12 0,63 ± 0,01 0,71 ± 0,05 0,63 ± 0,05
HDL-Chol (g/L) 0,30 ± 0,02 0,28 ± 0,02 0,30 ± 0,04 0,30 ± 0,01 0,22 ± 0,01 0,29 ± 0,02 0,25 ± 0,05
LDL-Chol (g/L) 0,44 ± 0,03 0,48 ± 0,04 0,48 ± 0,02 0,46 ± 0,06 0,40 ± 0,08 0,44 ± 0,05 0,59 ± 0,03
Table 2. Influence of aqueous extracts of Annona senegalensis and Hallea ledermannii on the lipid profile in diabetic rats. Results are presented as mean ± SEM, n = 5; #p < 0.05 compared to untreated diabetic controls.

Table 2 shows the effects of the treatments on the lipid profile of diabetic rats during the experimental period. The results obtained showed that the contents of total cholesterol, triglyceride, HDL cholesterol, and LDL cholesterol, both in untreated diabetic rats and in those treated with glibenclamide and aqueous plant extracts did not vary significantly (p > 0.05) compared to those of non-diabetic controls. The value of LDL cholesterol (LDL-c) in animals treated with EAAs200 significantly decreased (p < 0.05) compared to that of untreated diabetic controls (1.27 ± 0.02 versus 1.18 ± 0.03 g/L), after four weeks of daily administration of the test substances.

The influence of the effects of aqueous extracts of Annona senegalensis (EAAs100 and 200 mg/kg bw) and Hallealedermannii (EAHl200 and 400 mg/kg bw) was evaluated on markers of liver function. Table 3 shows the results obtained after 2; 4; 8 and 13 weeks of treatment. After 2; 4 and 8 weeks of treatment of diabetic rats, the values ​​of liver function markers did not undergo significant variations (p > 0.05) both in the treated diabetic rats and in the untreated controls compared to those of the non-diabetic controls.

Witnesses normal Diabetic controls Gli10 EAAs100 EAAs200 EAHl200 EAHl400
2 weeks
ALAT (UI/I) 27,50±3,57 22,80 ± 4,35 22 ± 3,39 22,33 ± 2,70 23 ± 2,08 25 ± 3,08 29,50 ± 4,91
ASAT UI/I) 39 ± 3,48 26,60 ± 3,67 28,50 ± 3,01 30,67 ± 2,85 34,67 ± 2,40 31 ± 3,67 32 ± 3,14
PAL (UI/I) 113,3 ± 5,17 101,8 ± 1,66 112,5 ± 7,86 110,3 ± 3,45 104,3 ± 3,76 118,5 ± 5,84 114,3 ± 4,23
Prot (g/L) 70 ± 1,69 68,60 ± 1,29 66,25 ± 1,65 69,67 ± 1,09 70,67 ± 2,91 71 ± 0,71 70,75 ± 2,84
4 weeks
ALAT (UI/I) 26,67 ± 3,62 22,20 ± 4,14 21,25 ± 3,17 21,83 ± 2,87 22 ± 2 24 ± 2,68 28,25 ± 4,52
ASAT UI/I) 38,50 ± 3,66 26 ± 3,92 29,25 ± 2,72 29,83 ± 3,15 33,67 ± 2,33 29,75 ± 3,68 30 ± 3,89
PAL (UI/I) 114 ± 5,41 102,6 ± 1,60 113,8 ± 7,98 109,7 ± 3,79 103 ± 3,61 116,3 ± 5,84 112,8 ± 4,85
Prot (g/L) 69,17 ± 1,30 68,60 ± 1,03 67,25 ± 1,49 69,17 ± 1,01 70 ± 3,22 70 ± 1,08 68 ± 0,91
8 weeks
ALAT (UI/I) 20,50 ± 2,96 22 ± 2,12 22,50 ± 1,50 22,50 ± 2,53 23 ± 1 24 ± 4 14,50 ± 2,50
ASAT UI/I) 22 ± 4,60 23,50 ± 2,78 20,50 ± 3,50 23 ± 3,70 33,85 ± 1,15 25,50 ± 2,50 24,50 ± 1,50
PAL (UI/I) 120,5 ± 6,41 121,8 ± 5,41 113,5 ± 3,50 122,3 ± 5,66 115 ± 7 107 ± 4 103,5 ± 6,50
Prot (g/L) 70,25 ± 1,70 68,25 ± 1,38 67,50 ± 0,50 69 ± 0,71 71,50 ± 1,50 69 ± 3 70 ± 1
13 weeks
ALAT (UI/I) 25,25 ± 4,95 20,05 ± 1,95 21,90 ± 4,60 20,80 ± 0,80 17,15 ± 2,85 18,30 ± 1,70 21,55 ± 3,55
ASAT UI/I) 17,40 ± 2 14,65 ± 0,45 13,70 ± 0,60 14,15 ± 2,25 15 ± 1,80 13,85 ± 2,95 12,30 ± 2,20
PAL (UI/I) 97 ± 4 93,50 ± 2,50 89 ± 1 97,50 ± 3,50 95 ± 1 137,5 ± 2,50### *** 103 ± 4
Prot (g/L) 69,50 ± 0,50 64 ± 4 62 ± 2 67,50 ± 0,50 70,50 ± 0,50 80 ± 3# 72,50 ± 2,50
Table 3. Effects of aqueous extracts of Annona senegalensis and Hallea ledermannii on markers of liver function in rats. Results are presented as mean ± SEM, n = 5; ***p < 0.001 compared to non-diabetic or normal controls, #p < 0.05; ###p < 0.001 compared to untreated diabetic controls

After 91 days of treatment, an increase in alkaline phosphatase was observed, in diabetic rats treated with Hallealedermannii extract (EAHl200). This elevation in serum alkaline phosphatase content was statistically different (p < 0.001) compared to both the mean values ​​in untreated diabetic control rats and those of normal controls (137.5 ± 2.50 versus control values ​​93, 50 ± 2.50 and 97 ± 4 IU/I).

For the same dose of Hallealedermannii (EAHl200), a significant increase (p < 0.05) in the protein content was observed compared to that of untreated diabetic controls (80 ± 3 g/L against the value of diabetic controls 64 ± 4 g/L).

Influence of extracts on relative liver weight

Relative liver weight (%)
4 weeks of treatment 13 weeks of treatment
Witnesses normal 2,21 ± 0,21 3,22 ± 0,05
Diabetic controls 2,17 ± 0,01 4,09 ± 0,67
Gli 10 (10 mg/kg pc) 2,83 ± 0,08 2,95 ± 0,54
EAAs 100 (100 mg/kg pc) 2,19 ± 0,04 3,57 ± 0,51
EAAs 200 (200 mg/kg pc) 2,54 ± 0,03 3,25 ± 0,16
EAHl 200 (200 mg/kg pc) 2,51 ± 0,22 3,11 ± 0,39
EAHl 400 (400 mg/kg pc) 2,74 ± 0,39 2,54 ± 0,39
Table 4. Effects of aqueous extracts of Annona senegalensis and Hallea ledermannii on relative liver weight in diabetic non-diabetic rats after 4 and 13 weeks of treatment. Results are presented as mean ± SEM, n = 5; p > 0.05 compared to untreated or normal diabetic controls.

Table 4 highlights the effects of Annona senegalensis and Hallealedermannii on the relative liver weight of diabetic rats treated or not and non-diabetic controls, after 28 and 91 days of treatment. The results indicate that the relative liver weights of all animals did not undergo significant variations (p > 0.05) in all diabetic groups compared to those of non-diabetic controls. Macroscopically, no changes were observed in diabetic rats compared to non-diabetic controls.

Histological analysis of the effects of extracts on the liver

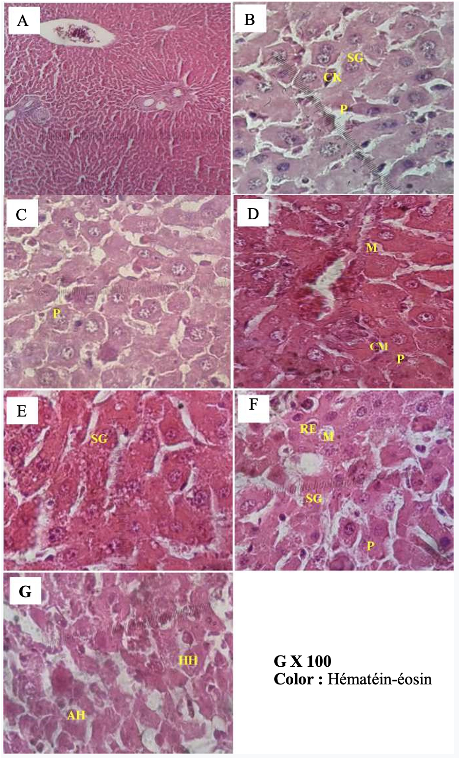
Figure 1. Photomicrographs of liver sections in diabetic and non-diabetic rats, after 91 days of treatment. Non-diabetic controls (A); Untreated diabetic controls (B); Diabetic rats treated with Gli10 (C); EAAS100 (D); EAAs200 (E); EAHl200 (F) and EAHl400 (G). EAAS: Aqueous extract of Annona senegalensis (100 and 200 mg/kg bw); EAHl: Aqueous extract of Hallea ledermannii (200 and 400 mg/kg bw); Gli: Glibenclamide (10 mg/kg bw); GS: Glycogenic overload; CK: Kpuffer cell; M: Myelinosome; P: Peroxisome; CM: Mallory's body; RE: Endoplasmic reticulum; AH: Hepatocyte apoptosis; HH: Hypertrophied hepatocyte

Animals, after 13 weeks of experimentation, were sacrificed and the histological sections of the liver observed under an optical microscope made it possible to obtain the images in Figure. There was the existence of Kupffer cells containing myelinosomes, with the presence of rare hepatocytes which show the proliferation of peroxisomes and the beginning of glycogenic overload in untreated diabetics (Figure B).

Some hepatocytes (Gli10) exhibit peroxisome hyperplasia with rare apoptosis and pyknosis lesions (Figure C). Figure D (EAAs100) shows very hyperplastic hepatocytes with numerous peroxisomes in the cytoplasm with the presence of Mallory bodies and a few Kupffer cells which have increased in size because they have phagocytosed myelinosomes.

In diabetic rats treated with EAAs200, the histological section showed glycogenic overload lesions (Figure E). The observation in Figure F (EAHl200) shows apoptosis of hepatocytes with the presence and proliferation of peroxisomes. A dilation of the endoplasmic reticulum is noted with a clear regression of glycogenic overload lesions affecting the hepatocytes. It should also be noted in the histological section of this figure, the presence of Kupffer cells containing a myelinosome. Figure G (EAHl400) shows hypertrophied hepatocytes with the presence of apoptosis.

DISCUSSION

The effects of aqueous extracts of Annona senegalensis (EAAs 100 and 200 mg/kg bw) and Hallealedermannii (EAHl200 and 400 mg/kg bw) on the lipid profile in diabetic rats were determined. The results obtained showed that only the value of LDL cholesterol (LDL-c) in animals treated with EAAs200 (200 mg/kg bw) significantly decreased (p < 0.05) compared to that of untreated diabetic controls (1 .18 ± 0.03 g/L versus 1.27 ± 0.02) after four weeks of daily administration.

Similar results were obtained by Abd El-Baky et al and de Zamani et al [26,27]. During their work, these authors observed a slight reduction in LDL cholesterol in diabetic rats receiving the aqueous extract of Inula viscosa (Asteraceae) dosed at 150 mg/kg bw. Contrary to these data, the lipid profile remains unchanged after thirteen (13) weeks of treatment. This result is similar to that of Thomson [28], [28] which indicates that garlic [Allium sativum (Amaryllidaceae)] normalizes the lipid profile of animals. This hypocholesterolemic activity of EAAs200 is probably due to certain constituents which can act as inhibitors of certain enzymes such as hydroxy methyl glutaryl-CoA “HMG COA” reductase, a key enzyme in cholesterol synthesis [29, 30]. Lipids constitute the largest energy reserve in the mammalian body. They mainly come from food (dietary fatty acids) or from lipogenesis obtained from non-lipid substrates, such as amino acids, glycerol and glucose. Abnormalities in lipid metabolism often led to insulin resistance, obesity, type 2 diabetes and cardiovascular disease [31]. Our study showed that our plant extracts used would correct these anomalies thanks to their reducing effect on the content of this lipid parameter.

The influence of the effects of aqueous extracts of Annona senegalensis (EAAs 100 and 200 mg/kg bw) and Hallealedermannii (EAHl200 and 400 mg/kg bw) was evaluated on liver function markers after 2; 4; 8 and 13 weeks of treatment.

Compared to untreated diabetic controls, significant increases in alkaline phosphatase content (137.5 ± 2.50 versus the value of diabetic controls 93.50 ± 2.50 IU/I) and protein (80 ± 3 g/ L compared to the value of diabetic controls 64 ± 4 g/L), were observed after 13 weeks of treatment in diabetic rats treated with EAHl (200 mg/kg bw). The increase in alkaline phosphatase content in diabetic rats was also observed by Boizard et al. [32]. Some authors have demonstrated this increase in alkaline phosphatase in human diabetic patients [33]. These authors showed that this increase was not linked to a hepatic disorder but was rather characteristic of diabetes mellitus.

The results regarding the increase in protein content in these diabetic animals in our study are contrary to those obtained by Asayama et al. [34] These authors showed that the reduction in proteins in diabetic animals would be due to the reduction in their synthesis in the liver.

The content of these two parameters did not vary significantly in rats treated with (EAAs 100 and 200 mg/kg bw) and EAHl 400 mg/kg bw during this experimental period.

The results regarding the stability of protein content in these diabetic animals in our study are similar to those obtained by Boizard et al. [35] who did not observe any significant variation in this parameter in diabetic mice compared to normal controls. This would mean that these plant extracts were able to protect the liver respectively from pathological damage such as cholestasis, neoplasia, hepatitis, cirrhosis and help in better management of diabetes by controlling appetite and body weight.

During the experimental period, the two plant extracts did not cause a significant change (p > 0.05) in the relative weight of the liver of all diabetic animals (treated or not) compared to that of non-diabetic controls.

Contrary results were obtained by certain authors Mihaela et al. [36] in diabetic rats, explaining the increase in the relative weight of the liver by a mobilization of adipose tissue towards the liver and a reduction in their degradation.

Excess lipids stored in the liver can cause inflammation and fatty liver, thus worsening the condition of the organ. Inflammation plays an important role in insulin resistance. Indeed, the accumulation of fat in insulin target tissues creates stress on the endoplasmic reticulum. This stress leads to the production of many inflammatory cytokines such as tumor necrosis factor-a (TNF-a) and interleukin-6 (IL-6) [37]. This was not the case in our study which showed that our two plant extracts protected the liver from inflammation and steatosis given the relative weight of this organ which remained static throughout the experimental period.

Histological sections of the liver of diabetic or non-diabetic rats were made after 13 weeks of experimentation in order to evaluate the effects of Annona senegalensis and Hallealedermannii on this organ.

The results revealed in untreated diabetic animals, the presence of Kupffer cells containing myelinosomes, rare hepatocytes and the beginning of glycogenic overload.

On the other hand, in diabetics treated with glibenclamide, EAAs (100 and 200 mg/kg bw) and EAHl (200 and 400 mg/kg bw), we observed the beginning of recovery of liver cells.

Similar results were obtained by Ikyembe et al. [38] by treating carbon tetrachloride-induced liver toxicity in rats with the methanolic extract of Anacardiumouest (Anacardiaceae).

These authors showed that this dose of 500 mg/kg bw of Anacardiumouest (Anacardiaceae), administered before carbon tetrachloride, made it possible to obtain liver sections showing normal liver cyto-architecture.

The histology of vital organs aims to reveal the possible toxic effects at microscopic dimensions of the aqueous extracts of Annona senegalensis and Hallealedermenii, after 13 weeks of treatment. The results obtained show that our plant extracts used have antitoxic effects at the microscopic level in the liver of diabetic rats.

CONCLUSION

In the liver, our results showed an increase in serum protein and alkaline phosphatase content compared to that of the untreated diabetic control. These increases are characteristic of diabetes mellitus and are not due to a liver disorder. Observation of histological sections of the liver shows regeneration of liver cells in diabetic rats treated with the extracts of Annona senegalensis and Hallealedermannii. Therefore, these plant extracts deserve to be used in traditional medicine for the treatment of diabetes mellitus.

REFERENCE

  1. Rodier M. Definition and classification of diabetes. Nucl Med Func Met Imaging. 2001; 25(2): 5-18.
  2. Sharma B, Viswanath G, Salunke R, Roy P. Effects of flavonoid-rich extract from seeds of Eugenia jambolana (L.) on carbohydrate and lipid metabolism in diabetic mice. Food Chem. 2008 ; 110 : 697–705.
  3. Al-Achi A. Herbs that affect blood glucose levels. Women’s Health in Primary Care .2005; 8(7): 325-330.
  4. Sarah W , , Anders G, Richard S, Hilary K. Global prevalence of diabetes: estimates for the year 2000 and projections for 2030, Diabetes Care. 2004 May; 27(5):1047-53.
  5. Khan R, Fosser GR, Chowhury TA. Managing diabetes in patients wich chrinic liver disease. Postgrad Med. 2012 ; 124 : 130-7.
  6. Scheen AJ. Pharmacokinecic and Toxicolgical considerations for the traitement of diabetes in patients wich liver disease. Expert Opin Drug Metab Toxicol. 2014 ; 10 : 839- 57.
  7. Bahmani M, Zargaran A, Rafieian-Kopaei M, Saki K. Ethnobotanical study of medicinal plants used in the management of diabetes mellitus in the Urmia, Northwest Iran. Asian Pac J Trop Med. 2014 Sep ; 7S1 : S348-354.
  8. Olaokun OO, McGaw LJ, Awouafack MD, Eloff JN, Naidoo V. The potential role of GLUT4 transporters and insulin receptors in the hypoglycaemic activity of Ficus lutea acetone leaf extract. BMC Complement Altern Med. 2014 ; 14 : 269.
  9. Matheka DM, Demaio AR. Complementary and alternative medicine use among diabetic patients in Africa:a Kenyan perspective. Pan Afr Med. J. 2013;15:110.
  10. Singh J, Kakkar P. Antihyperglycemic and antioxidant effect of Berberis aristata root extract and its role in regulating carbohydrate metabolism in diabetic rats. J Ethnopharmacol. 2009 ; doi : 10.1016/j.jep.02.038.
  11. Marles RJ, Farnsworth NR. Antidiabetic plants and their active constituents. Phytomed. 1995 ; 2 :137-189.
  12. Lawin IF, Laleye OAF, Agban OP. Vulnerability and endogenous conservation strategies of plants used in the treatment of diabetes in the communes of Glazoué and Savè in Central Benin. Int J Biol Chem Sci. 2016 ; 10(3) : 1069-1085.
  13. Njapdounke KJS, Nkantchoua NG, Moto OFC, Taiwe SG, Sidiki N, Pale S, Ayissi MER, Ngo BE. Anxiolytic like properties of Hallea ciliate in mice. AJTCAM. 2016 ; 13(4) : 1-7.
  14. OECD Test guideline 423. OECD guideline for chemicals. 2001; Available[http:/www.oecd.org/document/htm].
  15. Yeo D, Rodica D, Houphouet F Y, Bianca F, Mirela P, Djaman A J, N’Guessan JD. Evaluation of the anti-inflammatory activity and phytochemical screening of Annona senegalensis leaves. Phythother. 2011; 66 (1): 73-80.
  16. Konate A, Sawadogo WR, Dubruc F, Caillard O, Ouedraogo M, Guissou IP. Phytochemical and anticonvulsant properties of Annona senegalensis Pers. (Annonaceae), plant used in Burkina folk medicine to treat epilepsy and convulsion. British J Pharmacol Toxicol. 2011; 3(5): 245-250.
  17. Burkill HM. The useful plants of West Tropical Africa. 2nd edn, Royal Botanical Garden. 1997 Kew; 4:546-547.
  18. Diallo B., Vanhaelen-Fastre R., Vanhaelen M., Konoshima T., Takasaki M., Tokuda H. In vivo inhibitory effects of aijunolic acid derivatives on two stage carcinogenesis in mouse skin. Phytother Res.1995; 9: 444-447.
  19. Ndomou M, Kammegne DP, Ntah AM, Gouado I, Tchiegang C. Evaluation of the antidiabetic activity of leaf extracts of GnetumafricanumetGnetumbulchozzianum (Gnetaceae). Sci Tech Dev. 2014; 15: 60-65.
  20. Bouafou KGM, Kouamé KG, Offoumou AM. Nitrogen balance in rats growing dried maggot meal. Tropicultural. 2007; 25(2):70-74.
  21. Hould R. Histopathology and cytopathology techniques.Editor: College center for the development of teaching materials. Quebec (Province). 1984; 399 pp.
  22. Djoudad-Kadji H, Benslimane S, Chevalier C, Kadji B, Exbrayat J-M, Iguer- Ouada M. Visualisation des coupes histologiques des follicules ovariens de Barbus callensis variation de fixateurs et de colorants. Rev Fr Histopathol. 2011 ; 24 (1) : 21-28.
  23. Alturkistani H A, Tashkandi F M, Mohammedsaleh Z M. Histological Stains: A literature review and case study. Glob J Health Sci. 2016; 8(3): 72¬79.
  24. Berroukche A, Slimani M, Kahloula K, Kafi H, Cheikh A. Evaluation of the activity cadmium, in the presence of zinc, on the structures of tissues regulating metabolism in rats Wistar. Int J Biol Chem Sci. 2014; 8(4): 1796-1807.
  25. Chaouad B, Ghoul A, Zerrouk F, Moulahoum A, Khedis L, Othmani-Mecif K, Benazzoug Y. Impact of hyperhomocysteinemia on histomorphometry and histochemistry of the pancreas in the sand rat, Psammomys obeus. Nutr Santé. 2018; 7(1): 26-32.
  26. Abd El-Baky A, Abdulla A, Abd El-Mawgoud H, Abd El-Hay E. Hypoglycemic and hypolipidaemic action of bitter melon on normoglycemic and hyperglycaemic diabetic rats. Res J Med Sci. 2009; 4(2): 519-525.
  27. Zamani M, Rahimi AO, Mahdavi R, Nikbakhsh M, Jabbari MV, Rezazadeh H, Delazar A, Nahar L, Sarker SD. Assessment of anti-hyperlipidemic effect of Citrullus colocynthis. Rev Braz farmacogn. 2007; 17(4): 492-496.
  28. Thomson DM, Brown JD, Fillmore N, Condon BM, Kim HJ, Barrow JR, Winder WW. LKB1 and the regulation of malonyl-CoA and fatty acid oxidation in muscle. American Journal of Physiology, Am J Physiol Endocrinol Metab. 2006; 293(6): E1572-1579.
  29. Gebhardt M, Geier J. Evaluation of patch test results with denture material series. Contact dermatitis. 1996; 34(3): 191-195.
  30. Sharma SB, Nasir A, ​​Prabhu KM, Murthy PS, Dev G. Hypoglycaemic and hypolipidemic effect of ethanolic extract of seeds of Eugenia jambolana in alloxan induced diabetic rabbits., J Ethnopharmacol. 2003; 85(2-3): 201-206.
  31. Saltiel et Kahn, 2001). Saltiel A.R., Kahn C.R. Insulin signalling and the regulation of glucose and lipid metabolism. Nat. 2001 ; 414(6865) : 799-806.
  32. Boizard F, Andreux JP, Quevauviller A. Communications on mouse alloxan diabetes biochemical study. Bull Acad Vet Fr. 1979 b ; 52 : 73-86.
  33. Goldberg DM, Martin JV, Knight AH. Elevation of serum alkaline phosphatase activity and related enzyme in diabetes mellitus. Clin Biochem. 1977; 10(1): 8-11.
  34. Asayama K, Uchida N, Nakane T, Hayashibe H, Dobashi K, Amemiya S, Kato K, Nakazawa S, Dobashi K, Amemiya S, Kato K, Nakazawa S. Anti-oxidant in the serum of children insulin dependent diabetes mellitus. Free Radic Biol Med. 1993 ; 15(6) : 597-602.
  35. Boizard F, Andreux JP, Quevauviller A. Communications on mouse alloxan diabetes biochemical study. Bull Acad Vet Fr. 1979 a ; 52 : 49-60.
  36. Mihaela H, Anca-Mihaela PS, Malina CE, Mehedinti T. The effect of alloxan on the histology of pancreatic tissue. Analele universitdtii Dundrea De Jos’’Galati Medicine. Fascicula XVII, ANUL. 2006 ; V : 29-34 p.
  37. Ruan et Lodish, 2003). Ruan H., Lodish H.F. Insulin resistance in adipose tissue : direct and indirect effects of tumor necrosis factor-alpha. Cytokine and Growth Factor Rev. 2003 ; 14 (5) : 447-455.
  38. Ikyembe D, Pwavodi C, Agbon AN. Hepatoprotective Effect of Methanolic Leaf Extract of Anacardiumouest (Cashew) on Carbon-Tetrachloride-Induced Liver Toxicity in Wistar Rats. S Afr Med J. 2014; 1(3): 124-131.

How to Cite

Nanti, G. G. C. G., Kassim, D., Koudou, D. D., Semi Anthelme Néné, B., & Traoré, F. (2024). Hepatoprotective effect of aqueous extracts of Annona senegalensis (Annonaceae) and Hallea ledermannii (Rubiaceae) in alloxan-induced diabetic Wistar rat. International Journal of Current Research in Physiology and Pharmacology, 8(2), 1–11. Retrieved from https://www.ijcrpp.com/index.php/ijcrpp/article/view/93